Por Felipe Hernández/Avance
El embarazo molar, también conocido como embarazo de uva, es una complicación poco frecuente que imita un embarazo normal en sus inicios, pero que puede tener consecuencias graves si no se detecta a tiempo.
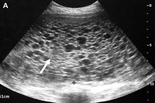
Esta condición aparece cuando, tras la fecundación, la placenta no se forma correctamente, en lugar de desarrollarse un embrión sano, dentro del útero crecen estructuras anormales llenas de líquido, similares a un racimo de uvas, aun así, el cuerpo produce la hormona del embarazo, por lo que las pruebas suelen dar positivo y generar una falsa sensación de normalidad.
Existen dos tipos de embarazo molar, en el completo no hay embrión desde el inicio y todo el tejido es anormal, en el parcial puede existir un embrión, pero no logra desarrollarse debido a alteraciones genéticas severas. En ambos casos, el embarazo no es viable y requiere atención médica inmediata.
Uno de los mayores riesgos de esta situación es que puede pasar desapercibida durante semanas, náuseas excesivas, vómitos intensos, sangrado vaginal, dolor pélvico y un crecimiento del abdomen más rápido de lo esperado son señales de alerta que no deben ignorarse, ya que indican que algo no va bien.
El peligro principal es que, en casos poco frecuentes, el embarazo molar puede derivar en una enfermedad más grave llamada enfermedad trofoblástica gestacional, un tipo de cáncer que se origina en la placenta y puede desarrollarse si las células anormales continúan creciendo después del tratamiento inicial.
Aunque no todos los embarazos molares evolucionan a cáncer, el riesgo existe y por eso el seguimiento médico es crucial, si no se controla, la enfermedad puede extenderse a otros órganos, lo que complica el tratamiento.
El diagnóstico se confirma con estudios básicos como la ecografía y análisis de sangre que miden la hormona hCG, la cual suele encontrarse en niveles muy elevados, una vez identificado, el tratamiento consiste en retirar el tejido anormal del útero y vigilar cuidadosamente la evolución de la paciente.
Reconocer los riesgos, entender que una prueba positiva no siempre significa un embarazo viable y acudir al médico ante cualquier duda puede salvar la salud y, en algunos casos, la vida.
